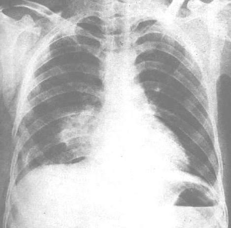
肺挫傷(はいざしょう Lung Contusion)は、胸部の傷害により引き起こされる肺の外傷である。
肺挫傷は、鈍的外力が直接作用することによって引き起こされるが、外傷に関連する爆傷および衝撃波が原因で引き起こされる場合がある。世界大戦における爆薬の使用で、爆破から肺挫傷を生じたため、認知度を高めた。また、交通外傷により同様の衝撃が引き起こされるが、シートベルトとエアバッグを使用することで、危険を減らすことができる。
.jpg)




肺挫傷(はいざしょう Lung Contusion)は、胸部の傷害により引き起こされる肺の外傷である。
肺挫傷は、鈍的外力が直接作用することによって引き起こされるが、外傷に関連する爆傷および衝撃波が原因で引き起こされる場合がある。世界大戦における爆薬の使用で、爆破から肺挫傷を生じたため、認知度を高めた。また、交通外傷により同様の衝撃が引き起こされるが、シートベルトとエアバッグを使用することで、危険を減らすことができる。
.jpg)



